
Gaumennahterweiterung, was ist das überhaupt?
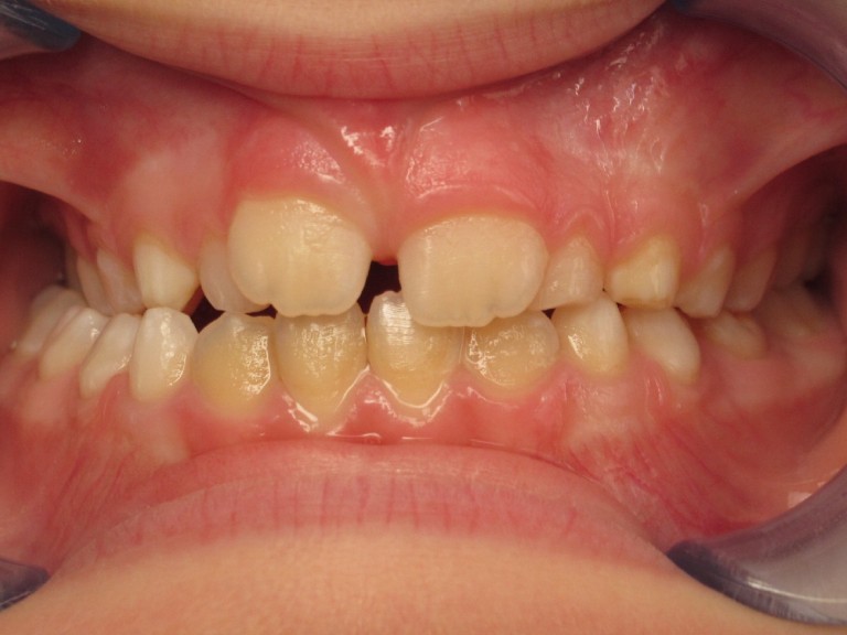
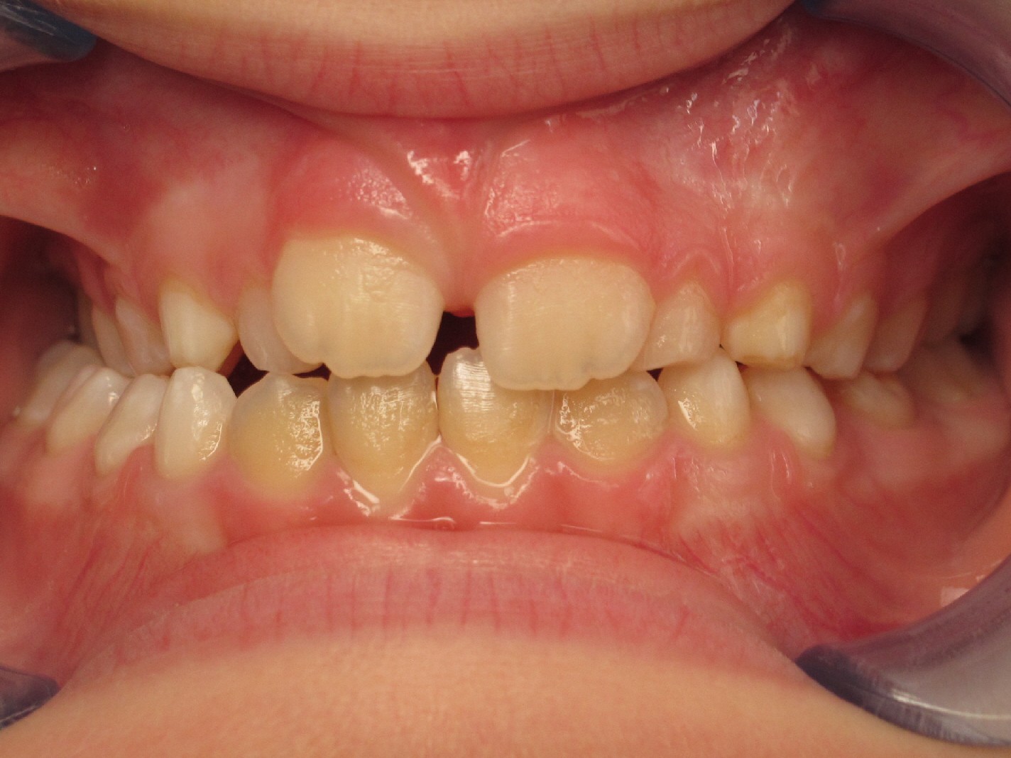
16. Oktober 2025Häufig sehen wir in der Praxis Kinder mit einem zu schmalen Oberkiefer, Folge davon ist oft ein Kreuzbiss, zu sehen auf dem unteren Zahnbild. Hier ist der Kreuzbiss auf der rechten Seite des Patienten entstanden.

Ursächlich ist eine falsche Zungenruhelage. Die Zunge dient als Wachstumsmotor für den Oberkiefer und sollte am Gaumen ihren Platz einnehmen. Ist das nicht der Fall, entsteht ein zu schmaler Oberkiefer. Um diese Zungenruhelage zu trainieren, gibt es spezielle Online-Trainings. Ist erst Fehlwachstum eingetreten, sind die Kieferorthopäden gefragt. Der Oberkiefer muss verbreitert werden, dann kann die Zunge wieder ihren richtigen Platz am Gaumen finden und die Zähne von Ober- und Unterkiefer richtig zusammenbeißen.


Wie kann diese Breitengewinnung im Oberkiefer stattfinden? Dazu sollten wir uns erstmal die Anatomie des Oberkiefers anschauen, um zu zeigen, warum eine Breitengewinnung im Oberkiefer im Vergleich zum Unterkiefer überhaupt möglich ist. Unser Oberkiefer besteht aus zwei Knochen, die über eine Gaumennaht miteinander verbunden sind. Diese Gaumennaht kann lebenslang aufgedehnt werden. Je nach Alter des Patienten gibt es unterschiedliche Möglichkeiten, diese Gaumennaht aufzudehnen. Wir stellen heute drei verschiedene Möglichkeiten vor.
Die Bioplate
Bei der Bioplate handelt es sich um eine herausnehmbare Plattenapparatur. Eine transversale Dehnschraube ermöglicht die gezielte Gaumennahterweiterung des Oberkiefers. Die Bioplate wird 24 Stunden abzüglich 5 min. (zum abendlichen Zähneputzen und Schrauben der transversalen Dehnschraube) getragen. Auf der Abbildung das weiße Modell zeigt das Ergebnis nach Oberkiefererweiterung.

Die festsitzende, klassische GNE (Gaumennahterweiterung)
Die GNE ist ein fest auf die Zähne zementiertes Gerät. Ebenfalls ist mittig eine Schraube integriert, an der täglich bis zu 2x gedreht wird. Vorteil der festsitzenden GNE ist, dass sie nicht rausgenommen werden kann. Das ist natürlich aber gleichzeitig auch ihr Nachteil, es kann schlechter gereinigt werden.

Der IPE (Invisalign palatinal Expander)
Der Expander wird ebenfalls 24h getragen und täglich gewechselt. Jeden Tag nimmt er an Breite etwas zu, wodurch die Gaumennahterweiterung erfolgt.
Diese drei Methoden haben unterschiedliche Vor- und Nachteile und müssen je nach Patienten und Situation in Erwägung gezogen werden. Das Wichtigste ist, ein Rezidiv nach der Erweiterung zu verhindern, d.h. die Gaumennaht kann auch wieder zusammenschrumpfen. Deswegen ist es so wichtig, dass nach einer Erweiterung die Zunge trainiert wird und am Oberkiefer in Ruhe, d.h. bei Mundschluss und Nasenatmung am Gaumen anliegt. Nur so bleibt die Breite stabil.

Quelle:
Praxis Dr. Andrea Freudenberg, https://mykie.de