Von der „Habsburger Lippe“ bis zur Zungenruhelage: Ursachen des frontalen Kreuzbisses
20. Januar 2026Ob genetische Veranlagung oder eine falsche Position der Zunge: Ein frontaler Kreuzbiss ist mehr als nur ein optisches Thema und sollte idealerweise bereits im Kindesalter korrigiert werden.
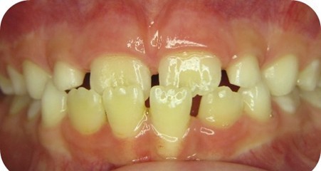
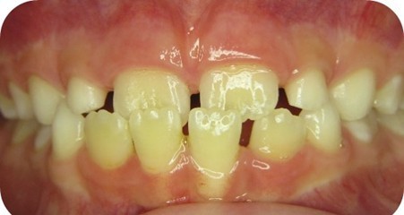
Betrachtet man die klinischen Aufnahmen, wird deutlich, dass hier eine Fehlstellung der Kiefer vorliegt, die über eine rein optische Unregelmäßigkeit hinausgeht.


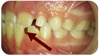
Es handelt sich um einen frontalen Kreuzbiss: Die vorderen Frontzähne von Ober- und Unterkiefer verzahnen falsch herum. Eigentlich sollte der Oberkiefer über den Unterkiefer beißen. Doch wie entsteht diese Fehlstellung?
Genetische Faktoren und die „Habsburger Lippe“
Diese Fehlstellung wird sehr häufig vererbt. Der Unterkiefer wächst zu stark nach vorne. Dieses Phänomen ist Ihnen vielleicht auch bekannt als „Habsburger Lippe“. Es handelt sich hierbei um eine sogenannte Progenie, die eine viel stärker erbliche Komponente hat als viele andere Fehlstellungen.

Funktionelle Ursachen: Die Rolle der Zunge
Ein vorstehender Unterkiefer muss jedoch nicht immer genetisch bedingt sein. Oft resultiert er aus einem unterentwickelten Oberkiefer. Die Ursache liegt hier häufig in einer falschen Zungenruhelage. Die Zunge fungiert als natürlicher „Wachstumsmotor“ für den Oberkiefer. Liegt sie jedoch dauerhaft am Mundboden statt am Gaumen, fehlt der nötige Reiz für das Breiten- und Längenwachstum des Oberkiefers.
Auch ein zu kurzes Zungenband kann diesen Prozess begünstigen. Die Zunge ist dadurch am Mundboden fixiert und kann ihre wichtige Funktion für die Kieferentwicklung nicht wahrnehmen.
Der ideale Zeitpunkt für die Korrektur
Wichtig ist, dass diese Fehlstellung so früh wie möglich behandelt wird und eine „Überstellung“ stattfindet. Ein guter Zeitpunkt ist gleichzeitig mit dem Wechsel der Frontzähne – die neuen können dann gleich richtig miteinander verzahnen, also die oberen Frontzähne überlappen die unteren.
Die Gesichtsmaske: Wachstum gezielt lenken
Falls das ideale Zeitfenster verpasst wurde, bietet die Gesichtsmaske eine effektive Behandlungsmöglichkeit. Mit Gummizügen wird der Oberkiefer nach vorne zu dem Gestänge der Apparatur gezogen. Natürlich ist diese Gesichtsmaske nicht sehr beliebt, aber gerade in jungen Jahren sehr erfolgreich und kann damit ein weiteres Fehlwachstum verhindern.

Ein großer Vorteil: Die Maske muss in der Regel nur nachts getragen werden. Da Kinder in diesem Alter glücklicherweise noch viel schlafen, lässt sich die Therapie gut in den Alltag integrieren.
Langfristige Vorteile für die Gesundheit
Mit dieser Behandlungsmethode wird das Wachstum des Oberkiefers nach vorne gefördert. Dadurch bekommen alle Zähne mehr Platz. Die Zunge erhält mehr Raum und kann sich am Gaumen anlegen. Dies ist wichtig für die Breiten- und Längenentwicklung des Oberkiefers und für die Nasenbasis, die ja das Gegenstück des Oberkiefers ist.
Wenn die Gesichtsmaske gut getragen wird, verändert sich auch das Profil positiv und sieht harmonischer aus. Die Atemwege werden weiter gemacht und das Risiko zu schnarchen nimmt deutlich ab. Alles Faktoren, die wichtig für die langfristige Gesundheit sind.
Bei Verdacht eines frontalen Kreuzbiss sollten Sie Ihr Kind bei einem auf Frühbehandlung spezialisierten Kieferorthopäden vorstellen. Im Rahmen der Diagnostik kann Ihr Kieferorthopäde evtl. Ursachen wie ein zu kurzes Zungenband oder einen Zwangsbiss erkennen und damit die frühzeitige Therapie einleiten. Viele weitere Informationen finden Sie auch unter https://mykie.de/.